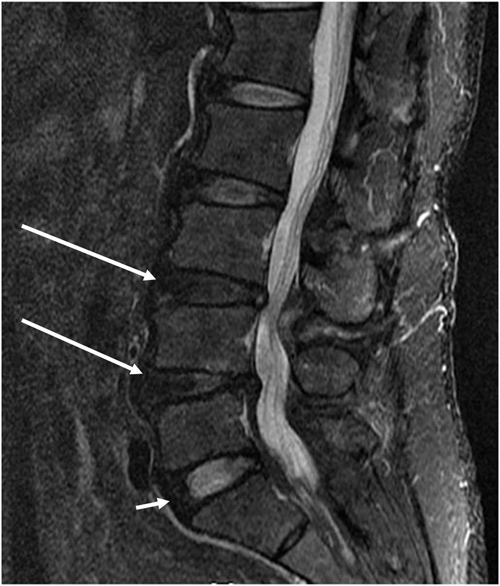
퇴행성 디스크 장애라고도 불리는 퇴행성 디스크 질환은 목이나 등 척추 디스크에 영향을 미치는 흔한 질환입니다. 그것은 디스크의 점진적인 마모를 특징으로 하며 통증, 불쾌감 및 제한된 이동성을 일으킵니다. 이 상태는 종종 노화와 관련이 있지만 부상이나 과다 사용의 결과로 발생하기도 합니다.많은 사람들에게 퇴행성 디스크 장애가 있다는 생각은 무섭고 압도적일 수 있습니다. 만성 통증에 대한 두려움과 이동성 상실은 쇠약해지고 불안, 슬픔, 좌절감을 일으킬 수 있습니다. 몸이 더 이상 예전처럼 기능하지 않는다는 사실을 받아들이기 어렵고 미래에는 많은 불편과 제한이 따를 수 있습니다.

그러나 퇴행성 디스크 질환은 치료 가능한 상태입니다. 적절한 관리와 관리를 통해 증상을 줄이고 삶의 질을 높일 수 있습니다. 물리치료, 통증관리, 수술 등 다양한 치료 옵션이 있습니다.물리치료는 종종 퇴행성 디스크 질환 치료의 첫 단계 중 하나입니다. 물리치료사는 영향을 받은 부위를 지탱하는 근육을 강화하는 데 도움이 되고 통증을 줄이고 유연성을 향상시키는 데 도움이 되는 운동을 제공할 수도 있습니다. 물리치료는 증상이 아직 심하지 않은 초기 단계에서 특히 도움이 될 수 있습니다.
![]()
퇴행성 디스크 질환이 더 진행될 경우 통증 관리가 필요할 수 있습니다. 여기에는 비스테로이드성 항염증제(NSAID)나 진통제 등 약물 사용이나 척추주사나 신경차단 등 기타 치료가 포함될 수 있습니다.심각한 경우 교정을 위해 수술이 필요할 수 있습니다. 문제. 외과적 선택에는 2개 이상의 척추뼈를 함께 융합하는 척추유합술과 영향을 받은 디스크를 제거하고 인공디스크로 교체하는 디스크가 포함됩니다. 이러한 절차는 통증을 줄이고 모빌리티를 개선하는 데 성공할 수 있지만 위험과 잠재적 합병증도 수반합니다.

퇴행성 디스크 치료를 위한 최선의 조치를 결정하려면 의료 제공자와 긴밀히 협력하는 것이 중요합니다. 질병. 환자의 병력, 증상, 신체 상태를 종합적으로 평가하면 가장 적절한 치료 계획을 결정하는 데 도움이 됩니다.퇴행성 디스크 질환을 안고 사는 것은 어려울 수 있지만 절망적일 필요는 없습니다. 올바른 관리와 지원으로 증상을 관리하고 높은 수준의 기능과 모빌리티를 유지할 수 있습니다. 퇴행성 디스크 환자는 최신 정보를 얻고 의료 서비스 제공자와 긴밀히 협력함으로써 자신의 치료에 적극적으로 참여하여 이 질환의 불편함과 한계에서 벗어날 수 있습니다.



